Non-Alcoholic Steatohepatitis (NASH)

Due to its progressive nature, NASH, if not managed carefully, can result in severe liver complications, such as hepatocellular necrosis and fibrotic depositions. NASH is typically characterized by inflammation, fat accumulation, and liver cell damage.

More than one-quarter of the global population is estimated to be affected by NAFLD; however, the prevalence of NASH is approximated to be at least 3-5%. As obesity and metabolic disorders continue to increase globally, NAFLD/NASH rates are projected to rise as well, increasing the rates of hepatocellular carcinoma (HCC).

Development of reliable and translatable models for researching the drivers of NASH, along with gauging the effectiveness of new pharmaceutical compounds is becoming increasingly crucial, the NASH mouse model provides help in investigating NASH.

What is the NASH Mouse Model?

The NASH mouse model is curated model that mimics the key features of NASH, as observed in humans, because the NASH mouse model is specifically designed to replicate the complex pathophysiology of NASH, it also includes the accumulation of fat in the liver, inflammation, oxidative stress, and eventual progression to fibrosis.

In preclinical research, the NASH mouse model is essential for studying the underlying mechanism of the disease, testing therapeutic interventions, and evaluating efficacy of new drug candidates. This allows for close examination of the development of NASH, and how it responds to treatments in a controlled environment, only made possible through the NASH mouse model.

Variations of the Nash Mouse Model

Our mouse models are ideal for preclinical research, mirroring the progression of the NASH disease in humans, offering diverse applications in research, and translational value in preclinical findings and clinical outcomes, explore our wide range of NASH mouse model below:

Ob/Ob HFD Mouse Models

High-fat diet in a mouse model with a genetic background for obesity and related characteristics.

CCl4 Model of Liver Fibrosis

One of the first described murine models for NASH - a reliable and historic model with a chemical challenge.

STZ HFD Mouse Model

Combines a high-fat diet with a diabetes-like phenotype. Flexible study designs to suit many needs.

Friedman Model

A combination of two highly effective challenges - diet (high in fat, fructose, and cholesterol) and CCl4.

Flexible and Customizable Analytical Assays

Track research progress with real-time updates to study tasks and milestones. Collect robust and meaningful data with the NASH mouse model.

Track the progression of the NASH mouse model through serum measurements of liver enzymes and other study relevant markers. These values provide valuable insight into the health and function of the liver. Track standard markers, or select your own panel with targets of interest.

Insulin resistance, hyperglycemia, and diabetic phenotype are important factors in the progression of NASH pathology. Noninvasively monitor glucose levels throughout the study period to add further depth to your data and results.

From custom tissue weights and collections, to hydroxyproline assays and much more, a wide variety of endpoint and biomarker analyses are readily available for tailoring in the NASH mouse model.

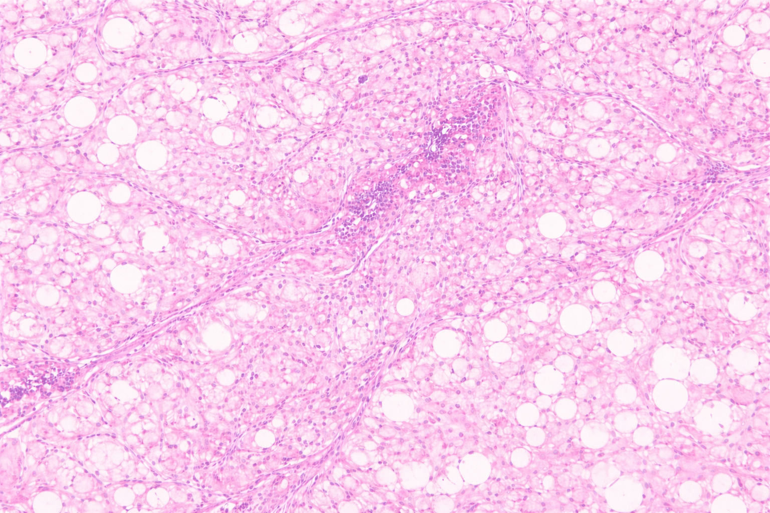
Histological slides, expertly prepared, can be collected and reviewed, with liver sections tainted using hematoxylin and eosin (H&E), as well as picrosirius red (PSR), or Masson’s trichrome which highlights fibrotic deposition and cellular size and health.

An expert veterinary pathologist well-versed in murine NASH, and fibrosis research, will provide detailed slide reviews, including scores. In addition to this, computerized, machine learning-based fibrosis scoring can be provided.

Do you have custom assays or specific biomarker analysis needs? No problem! We can transfer existing procedures and onboard novel analysis methods to fit your needs and acquire the most meaningful data for your study.

Enhance your studies with our Nash Mouse Model

Contact one of our scientists today.